Σύγχρονες θεωρίες πώρωσης των καταγμάτων με βάση το ανοσοποιητικό μοντέλο
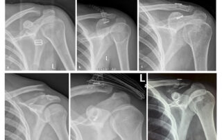
Δημοσίευση νέας έρευνας με την συμμετοχή του Γιάννη Τριανταφυλλόπουλου σχετικά με την επίδραση του ανοσοποιητικού συστήματος στα κατάγματα. Το πολυσυζητημένο -ελέω πανδημίας- ανοσοποιητικό μας σύστημα φαίνεται πως παίζει κυρίαρχο ρόλο [...]













